이번 포스트에서는 지난 포스트에 이어 poly A의 elongation(신장) 과정에 대해 알아보자.
앞서 얻은 지식을 바탕으로 생각해보면 일부 adenylation이 일어나고 난 뒤, signal independent하게 다시금 polyadenylation이 일어나므로 먼저 합성된 짧은 A 가닥을 인지하고 결합하는 단백질이 있을 것이라 예상 가능함.
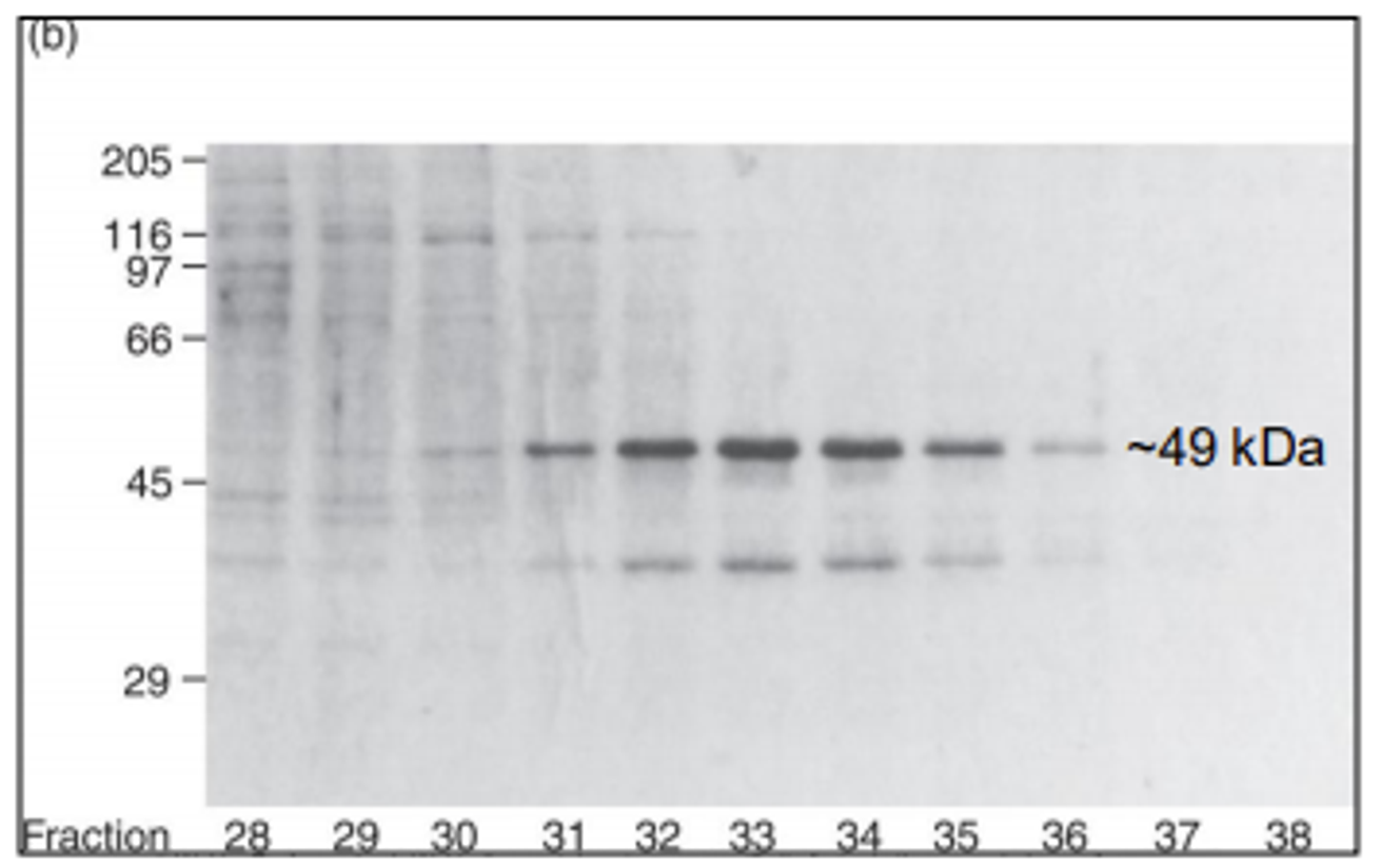
따라서 짧은 poly A에 결합 가능한 단백질들만을 모았고, 이들을 gel filtration experiment를 이용해 크기별로 아래와 같이 분리해봄.

이 중 대략 30~37까지의 fraction을 뽑아 SDS-PAGE를 진행해본 결과가 아래와 같음.

보면 대략 30~37까지의 fraction에 49kDa 정도의 분자량을 가지는 단백질이 존재하고 있음을 확인 가능함. 한편 이 단백질이 polyadenylation 활성을 가지는지 여부를 test하기 위해서 (a)에서 얻은 fraction 각각에 대해 polyadenylation stimulatory activity를 측정하는 assay를 수행해보았고, 그 결과는 아래와 같음.

보면 30~37까지의 fraction이 실제로 polyadenylation 활성을 가지고 있다는 것을 알 수 있음. 이에 이 부분에 포함된 단백질을 PAB II(poly A binding protein II)라고 이름붙임. (이 당시 이미 PAB I이 발견되어 있었기 때문에 불가피하게 PAB II로 이름붙임)

다음으로 위 실험 결과를 살펴보자.
우선 왼쪽 결과의 경우 L3 pre(AAUAAA motif를 가지는, 정상적인 pre mRNA)와 L3 pre Δ(AAGAAA motif를 가지는, 비정상적인 pre mRNA) 각각에 대해 PAP, CPSF, RAB II를 넣고 빼보면서 polyadenylation이 일어나는지 여부를 본 것임.
보면 일단 L3 pre에서 PAP와 CPSF 둘이 있는 경우 최대는 아니지만 그래도 어느 정도 polyadenylation이 일어남을 볼 수 있음. 한편 PAP, CPSF, PAB II가 모두 다 있는 경우에는 PAP와 CPSF만 있을 때보다 더 긴 길이로 polyadenylation이 일어난다는 것을 알 수 있음. (따라서 이 셋이 다 있는 것이 optimal한 형태)
참고로 PAP와 PAB II는 있으나 CPSF가 없는 경우에는, 애초에 처음부터 AAUAAA를 인식해서 cleavage가 일어나지도 못하므로 polyadenylation이 일어나지 못한다는 것을 관찰할 수 있음. 한편 L3 pre Δ의 경우에는 어떤 조합에서도 polyadenylation이 일어나지 않았음을 확인할 수 있음.
이제 이 결과와 오른쪽 실험결과를 비교해보자. 오른쪽 실험결과는 나머지는 다 동일하나 L3 pre와 L3 pre Δ 각각에 oligo A를 첨가해줌. 즉, 다시 말해 tail 부분에 어느 정도 처음부터 몇 개의 A가 달려 있는 상태에서 반응을 진행시킴. 이 때문에 결과를 보면 처음부터 90 근방의 위치에 band가 나타남을 알 수 있음. (처음부터 어느 정도 adenylation이 진행되어 있음)
우선 L3 pre의 경우 앞서와 마찬가지로 PAP, CPSF가 있는 경우, PAP, CPSF, PAB II가 있는 경우에는 polyadenylation이 앞서와 비슷한 경향으로 나타남. (셋 다 있는 경우에 가장 polyadenylation이 많이 나타남) 그런데 이 경우에는 CPSF 없이 PAP와 PAB II만 있을 때도 polyadenylation이 일어남. 즉 이를 통해 처음에 일정 길이의 A가 달려있기만 하면 PAB II는 CPSF의 도움 없이도 어느 정도는 polyadenylation을 시킬 수 있다는 것을 알 수 있음.
다음으로 L3 pre Δ를 살펴보자. 이 경우에는 우선 PAP와 CPSF만 넣어준 경우 추가적인 polyadenylation이 일어나지 않는데, 이는 당연한 것이 CPSF가 비정상적인 AAGAAA signal을 인지하지 못하기 때문. 한편 PAP, PAB II를 넣어준 경우, PAP, CPSF, PAP II를 넣어준 경우에는 추가적으로 polyadenylation이 일어남.
이를 통해 PAB II는 이미 합성된 A가 있기만 하면 polyadenylation signal과는 전혀 상관없이 (independent하게) 추가적인 polyadenylation을 시킬 수 있다는 것을 알 수 있음.

위 표에는 3' cleavage, polyadenylation과 관련된 다양한 factor들이 정리되어 있으므로 참고할 것.
참고로 앞서 poly A polymerase(PAP)에 대해 잠시 언급했었는데, 이 녀석은 RNA-binding domain, polymerase module, 2 nuclear localization signals, Ser/Thr-rich region 등을 포함하고 있으며, 이러한 녀석들에 의해 polyadenylation activity를 가지게 됨.
다음 포스트에서는 만들어진 poly A 꼬리의 수명에 대해 알아보자.
'전공자를 위한 생물학 > 분자생물학' 카테고리의 다른 글
| [분자생물학] 15.5 : mRNA processing과 전사의 연관성 - 1 (0) | 2023.12.21 |
|---|---|
| [분자생물학] 15.4 : polyadenylation의 메커니즘 - 4 (0) | 2023.12.21 |
| [분자생물학] 15.4 : polyadenylation의 메커니즘 - 2 (0) | 2023.12.20 |
| [분자생물학] 15.4 : polyadenylation의 메커니즘 - 1 (0) | 2023.12.20 |
| [분자생물학] 15.3 : poly A의 기능 (0) | 2023.12.20 |