이번 포스트에서는 lambda phage의 lysogenic reproduction(용원성 생활사)에 대해 알아보도록 하자.
lysogenic cycle에는 cI이라는 gene으로부터 발현되는 lambda repressor가 매우 중요하게 작용함. 이 때 lambda repressor는 cI gene을 제외한 나머지 gene들을 모두 shut down시켜버림. 그러나 cI gene은 앞서 설명했듯이 cro gene에 의해 만들어지는 repressor에 의해 lytic cycle 시에는 turn-off 되어있음. 그렇다면 때가 되었을 때 어떻게 cI gene을 turn on시킬 수 있을까.
cI gene을 turn-on 되게끔 만들어주는 것은 delayed early gene의 결과물들임. delayed early gene 중 cII, cIII로부터 만들어지는 cII, cIII는 cI gene이 어느 정도 발현될 수 있도록 도와줌.

그 과정이 위 그림에 나타나 있음. 보면 cII가 어느 정도 누적될 시 cII는 PRE에 붙어 위 그림상 왼쪽 방향으로의 전사를 촉진함. 이 때 전사의 방향이 PR에 의해 유발되는 전사의 방향과는 반대방향임. (즉, cII가 일종의 activator로 작용해 PRE에 RNA polymerase가 잘 붙고 전사할 수 있게 만들어줌) 참고로 이 때 RE는 repressor establishment를 의미함.
이렇게 해서 cI gene에 의해 만들어진 lambda repressor는 lysogenic cycle로의 진입을 유발함. (그러나 이 과정에서 엄청난 양의 lambda repressor가 만들어지는 것은 아니고, 소량의 lambda repressor가 만들어짐)

이렇게 소량 만들어진 \lambda repressor는 위 그림과 같이 일단 dimer를 형성한 후 OL, OR에 가서 달라붙음. (이 때 OL, O_R은 각각 PL, PR과 같은 위치에 존재한다는 것을 앞에서 이미 언급한 바 있음) 이 때 특히 OR과 결합한 \lambda repressor dimer는 바로 근처에 있는 PRM promoter에 RNA polymerase가 더 잘 붙도록 도와주는 activator의 역할을 함. 즉, lambda repressor와 RNA polymerase는 cooperative binding을 함. (이 때 RM은 repressor maintenance를 의미함) 그 결과 cI gene이 더욱 많이 전사되고 lambda repressor가 엄청나게 많이 만들어지게 됨.
이와 동시에 OL, OR에 붙은 \lambda repressor들은 PL, PR에 RNA polymerase가 제대로 못 붙도록 방해하는 lambda repressor로의 역할도 수행함.
사실 OL, OR은 세 부분으로 이루어져 있음. 그 중 OR1, OR2, OR3가 위 그림상에 나타나 있음. 이 때 OR1, OR2에 lambda repressor dimer가 각각 하나씩 붙게 되고 이들이 협동적으로 PR에 RNA polymerase가 붙는 것을 방해함(cro는 shut down)과 동시에 PRM에 RNA polymerase가 붙는 것을 도와줌. 참고로 이 때 OR3 부분은 PRM과 거의 동일한 곳에 위치하고 있음.

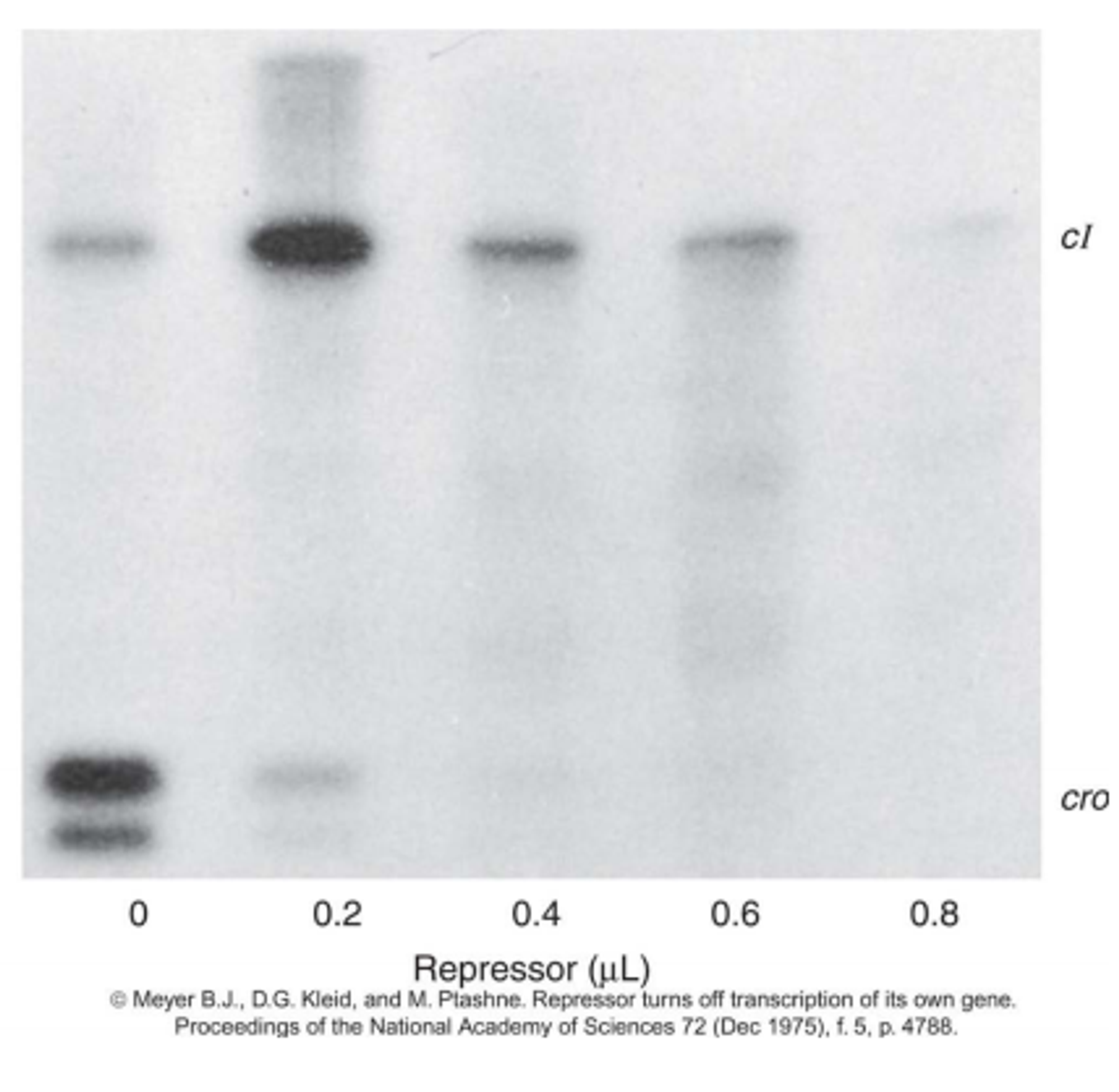
위 실험 결과를 보면 lambda repressor의 양을 늘리면 늘릴수록 cro의 발현양이 감소함을 알 수 있음. 그런데, 위 결과에서 c1의 발현양도 처음에는 증가하지만 이후 감소하는 것을 볼 수 있음. 이는 autoregulation의 결과로, 조금 더 자세한 내용은 곧이어 살펴볼 것임.

위 그림의 (a)는 앞서 살펴본 \lambda repressor의 활성 과정에서의 실제 모습을 보여주고 있음. 보면 실제로는 DNA loop이 형성되면서 OL, OR에 붙는 \lambda repressor들이 모두 결합해있음을 알 수 있음. (이 때 lambda repressor의 amino-terminal 부분이 DNA와 binding하고, carboxyl-terminal 부분이 맞은편의 lambda repressor와 binding함) 이런 상태가 되어야 가장 최적의 stage가 되었다고 볼 수 있음.
한편 (b)는 autoregulation의 과정을 나타내주고 있음. 보면 lambda repressor가 지나치게 많아질 경우 lambda repressor가 OR3, OL3 자리에까지 결합할 수 있게 됨. 그러면 PRM에 RNA polymerase가 결합하는 것이 (물리적으로) 억제됨. 그 결과 cI gene의 발현양이 감소함.

한편 위 그림의 (a)에는 앞서 살펴봤던 OR에 붙는 lambda repressor에 의한 PRM 쪽의 RNA polymerase activation 과정이 나타나 있음. 그런데 만약 (b)와 같이 lambda repressor에 mutation이 생겨 OR과는 결합 가능하지만 RNA polymerase와의 direct binding이 불가능해지게 된다면 이 때는 전사가 제대로 일어나지 않을 것임.
그런데 아주 희박한 확률로 (c)와 같이 RNA polymerase와 \lambda repressor가 binding하는 site 자체에도 mutation이 생겨서 mutant lambda repressor와 결합할 수 있는 RNA polymerase가 생기는 경우 전사가 일어날 수 있을 것임. 이처럼 이미 생긴 mutation의 영향을 극복하는 mutation을 intergenic suppression이라 함.
앞서 완전히 virulent한 phage들은 배양 시 투명한 플라크를 형성한다고 했었음. 그렇다면 lambda phage는 어떠할까. 만약 환경이 favorable하지 않은 등의 외부 요인에 의해 100% 다 lytic cycle로 돌입하는 경우에는 앞서와 동일하게 투명한 플라크가 관찰됨. 그러나 대부분의 경우 이렇지 않고, 그러다 보니 뿌연 플라크가 관찰됨. (이는 lysogen이 존재하기 때문임)
그렇다면 도대체 lytic cycle과 lysogenic cycle 중 어디로 진입할지를 결정하는 것은 무엇일까. 일단 지금까지 배운 지식을 바탕으로 생각해보면 이 질문이 c1과 cro 중 어떤 것이 발현될지를 결정하는 인자는 무엇인지에 대한 질문과 거의 동일하다고 봐도 된다는 것은 이해할 수 있을 것임.

만약 cI이 cro를 overcome한다면 (a)와 같이 lambda repressor가 cro의 전사를 막아 lysogenic cycle로 진입할 것임. 만약 cro가 cI을 overcome한다면 (b)와 같이 Cro가 PRM에 결합한 후 repressor로 작동해 (일종의 blocker로 작동) cI의 전사를 막아 lytic cycle로 진입할 것임.
이 때 결국 어떤 gene이 overcome할 것인지에 대한 여부는 cII의 양에 따라 결정됨. cII의 양이 많은 경우 cI이 cro를 overcome할 것이고 cII의 양이 적은 경우 cro가 cI을 overcome할 것임.
cII의 양을 조절하는 mechanism은 다양한데, 그 중 가장 대표적인 것은 cII의 분해효소 활성을 때에 따라 조절하는 것임. 만약 phage 자체의 energy가 충분하지 않은 경우 아직 준비가 되지 않았으므로 각종 RNA, 단백질을 만들어서 lytic cycle로 접어든 후 세포를 터뜨리고 나가는 것이 매우 부담스러울 수 있음. 이 경우에는 cII의 분해효소가 적게 만들어지게 될 것이고 그 결과 cII가 많아져서 lysogenic cycle로 가게 됨. (phage가 충분치 못한 energy를 가지고 있을 경우 host genome의 복제 과정에서 수만 불리고 있는 것이 훨씬 유리할 것임)
한편 phage의 상태 이외에 감염된 host cell의 상태도 매우 중요하게 작용함. 만약 host cell 주변 환경이 너무 가혹한 경우 phage는 lytic cycle을 통해 탈출하는 것이 유리함. 그렇다면 phage는 어떻게 주변 환경이 harsh한지 여부를 알 수 있을까. 결론적으로 lysogen이 받는 DNA damage를 인식하게 되는데, harsh한 주변환경에 의해 DNA damage가 유발되면 SOS response가 발생하게 됨.

SOS response의 결과 RecA coprotease와 lambda repressor protease 등이 발현되면 위 그림과 같이 lambda repressor가 다 분해됨. 그 결과 더이상 lambda repressor가 작동하지 못하므로 PR에 RNA polymerase가 붙어 cro gene이 전사되게 되고, 결국 lytic cycle로 진입해 세포를 lysis시키며 밖으로 나가게 됨.
이번 포스트를 끝으로 원핵생물에서 일어나는 거대한 규모의 발현 조절 기작에 대한 내용을 마무리지었음.
다음 포스트부터는 원핵생물에서 일어나는 DNA와 단백질간의 상호작용에 대해 알아보자.
'전공자를 위한 생물학 > 분자생물학' 카테고리의 다른 글
| [분자생물학] 9.2 : prokaryote에서의 원거리 DNA, 단백질 상호작용 (0) | 2023.12.16 |
|---|---|
| [분자생물학] 9.1 : prokaryote에서의 repressor, DNA 상호작용 (0) | 2023.12.16 |
| [분자생물학] 8.3 : lambda phage(람다 파지), antitermination - 2 (0) | 2023.12.16 |
| [분자생물학] 8.3 : lambda phage(람다 파지), antitermination - 1 (0) | 2023.12.16 |
| [분자생물학] 8.2 : RNA polymerase switching (0) | 2023.12.16 |